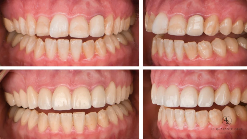
La facette dentaire permet d’améliorer durablement l’apparence du sourire. Fine pellicule appliquée sur la surface visible de la dent, elle corrige la couleur, la forme ou l’alignement, sans recourir à un traitement long. Le42, cabinet dentaire à Toulouse, accompagne ses patients dans cette démarche esthétique. Il associe pour cela expertise clinique et matériaux de haute qualité.

Qu’est-ce qu’une facette dentaire ?
La facette dentaire désigne une fine coque, généralement en céramique, que le chirurgien-dentiste colle sur la face visible d’une dent. Elle masque les défauts légers de couleur, de forme ou de position.
Ce procédé permet par exemple de rendre une dent tachée plus blanche ou de fermer un espace entre deux dents.
La facette ne recouvre qu’une partie de la dent (contrairement à une couronne). Elle ne nécessite donc qu’une préparation minimale de l’émail.
Les principaux types de facettes
Il existe deux principaux types de facettes dentaires.
- Les facettes céramique (porcelaine), très esthétiques, sont également les plus durables et les plus résistantes aux taches. Ces facettes haut de gamme conservent leur éclat pendant de longues années. Leur prix est aussi plus élevé.
- Les facettes en résine composite sont, elles, réalisées directement par le dentiste, en une séance. Elles sont aussi plus abordables financièrement. En revanche, elles tiennent moins longtemps et peuvent se décolorer ou s’user plus vite au fil des années.
Les avantages des facettes dentaires
Les facettes dentaires offrent de nombreux avantages :
- Esthétiques : elles transforment instantanément l’aspect des dents pour un sourire plus blanc, aligné et harmonieux ;
- Procédure rapide et indolore : la pose, peu invasive, est aussi rapide. Une anesthésie locale légère prévient la douleur ;
- Préservation de la dent : la réduction dentaire est légère (bien plus que pour une couronne). La structure saine de la dent est donc largement préservée ;
- Résultat durable : en céramique, les facettes durent souvent de 10 à 15 ans (voire plus). Elles résistent aux taches de café, de thé ou de tabac.

Le déroulement d’une pose de facettes au cabinet Le42 à Toulouse
La consultation initiale
La première consultation permet au dentiste d’examiner votre sourire, de discuter de vos attentes et d’évaluer votre santé bucco-dentaire. Ceci afin de confirmer que les facettes sont indiquées dans votre cas. Le praticien vous conseille alors sur le type de facettes le plus adapté (céramique ou composite).
Les étapes de la pose
La pose des facettes s’effectue généralement en deux séances. Lors de la première, le dentiste prépare les dents en retirant une fine couche d’émail (sous anesthésie locale), afin de faciliter l’adhésion. Une empreinte permet ensuite de fabriquer des facettes sur mesure en laboratoire.
Des facettes provisoires protègent les dents et maintiennent l’esthétique entre les deux rendez-vous. Les facettes définitives peuvent alors, après essayage, être scellées solidement grâce à une résine adaptée.

Suivi et entretien des facettes
Après la pose, des contrôles réguliers permettent de vérifier la bonne adaptation des facettes et la santé des gencives. Pour une durée maximale des facettes dentaires, il est important de maintenir une hygiène bucco-dentaire irréprochable (brossage biquotidien, fil dentaire) et de porter une gouttière nocturne en cas de bruxisme.
Quel est le prix d’une facette dentaire à Toulouse ?
Le tarif d’une facette dentaire à Toulouse dépend de plusieurs facteurs. Il tient en effet compte du matériau utilisé (céramique ou composite), du nombre de dents traitées et de la complexité du cas. En moyenne, comptez 500 à 1000 € par facette céramique et 170 à 350 € par facette composite.
Au cabinet Le42 obtenez un devis précis pour votre facette dentaire à Toulouse. Ce dernier vous sera remis avant le début du traitement, vous aide à définir votre budget.
Remboursements et financement
Les facettes dentaires, considérées comme un soin esthétique de confort, ne sont pas remboursées par l’Assurance Maladie. En revanche, selon votre mutuelle, une partie du coût peut être prise en charge. Renseignez-vous auprès d’elle et faites établir un devis pour connaître le remboursement éventuel.
Pourquoi choisir le cabinet Le42 à Toulouse ?
Un cabinet conçu pour que vous vous y sentiez détendu !
Dès votre arrivée, vous bénéficiez d’une atmosphère chaleureuse. La salle d’attente moderne et confortable faisant d’elle un lieu rassurant.
Un accompagnement sur-mesure pour chaque patient
Chaque sourire est unique. Nous prenons donc le temps de vous écouter afin de bien comprendre vos attentes. Puis nous élaborons un plan de traitement entièrement personnalisé (choix de la teinte et de la forme des facettes, prévisualisation du résultat, etc.). Notre équipe s’adapte à votre rythme et répond à vos questions à chaque étape. Notre expertise ne se limite pas à la pose de facettes. Nous proposons également d’autres soins, comme les implants dentaires.
Vous avez des questions sur la pose de facettes dentaires à Toulouse ? N’hésitez pas à prendre contact avec le cabinet Le42. Notre équipe, toujours à votre écoute, vous conseille et programme une consultation adaptée à vos besoins et à vos attentes.
FAQ : les questions souvent posées en consultation
- Quel est le prix d’une facette dentaire pour toute la bouche ?
Le prix d’une facette dentaire pour toute la bouche dépend du nombre de dents concernées et du matériau utilisé. Son prix varie de 170 à 1000 €. (ou plus selon le praticien, la qualité, le pays…etc)
- Quelles dents ne conviennent pas aux facettes ?
Les facettes se posent essentiellement sur les dents antérieures (incisives et canines). La pose sur les molaires est plus rare, car ces dernières subissent de fortes contraintes masticatoires. Sur une dent très abîmée (carie importante, fracture) ou en cas de bruxisme, la facette n’est généralement pas recommandée. Une couronne ou un autre traitement sera alors préférable.
- Comment se faire rembourser les facettes ?
La facette dentaire, soin esthétique, n’est pas remboursée par l’Assurance Maladie. En revanche, votre mutuelle peut éventuellement couvrir une partie de la dépense selon votre contrat.
- Quelle est la durée de vie d’une facette dentaire ?
Les facettes en céramique durent en moyenne 10 à 15 ans. Celles en composite tiennent de 5 à 7 ans. Une hygiène rigoureuse et des contrôles réguliers prolongent leur durée de vie.
- Quel est l’âge minimum pour mettre des facettes dentaires ?
On recommande généralement d’attendre la fin de l’adolescence (vers 16 ou 18 ans) pour poser des facettes dentaires, lorsque la denture définitive est en place.
